Lobectomie radicală VATS uniportal – tratament microinvaziv pentru o pacientă cu istoric oncologic complex

Distribuie:
Cuprins
Cazul medical
Pacienta, 44 de ani, cu istoric de cancer mamar tratat multimodal, beneficiind anterior de o mastectomie tip Madden (intervenție chirurgicală prin care se îndepărtează întreaga glandă mamară, păstrând mușchii pectorali, dar cu excizia ganglionilor limfatici axilari) pe partea stângă și rezecție non anatomica (în pană) a lobului inferior stâng, adică îndepărtarea unei mici porțiuni triunghiulare de țesut pulmonar, împreună cu un nodul pulmoanr, păstrând restul lobului.
La monitorizarea oncologică periodică, investigațiile imagistice (CT și PET-CT) au evidențiat un nodul pulmonar și un ganglion limfatic interlobar cu activitate metabolică intensă (SUV >25), ambele în progresie dimensională.

Figura – Chirurgia microinvaziva uniportala – incizie unica de 3 cm prin care sunt introduse camera video, prin intermediul careia se face rezectia pulmonara si la nivelul careia se exteriorizeaza tubul de dren la sfarsitul procedurii.
Indicația chirurgicală
Având în vedere suspiciunea de adenocarcinom pulmonar recidivat, echipa de chirurgie toracică a decis efectuarea unei lobectomii radicale a lobului inferior stâng prin VATS uniportal, o tehnică video-asistată microinvazivă, realizată printr-o incizie unică de 3 cm.
Etapele intervenției
Procedura a presupus:
- disecția atentă a aderențelor pleurale rezultate din intervenția anterioară
- limfadenectomie mediastinală și hiliară completă
- identificarea și secționarea controlată a venei și arterelor pulmonare cu dispozitive EndoStapler (instrumente chirurgicale microinvazive care taie și, simultan, aplică rânduri de capse speciale pentru a sigila vasele de sânge sau bronhiile în timpul intervențiilor toracice sau abdominale)
- eliberarea bronhiei lobului inferior și rezecția completă a lobului afectat.
Toate manevrele au fost realizate video-asistat, printr-o singură incizie, reducând trauma chirurgicală și permițând o vizualizare excelentă a structurilor vasculare și bronșice.
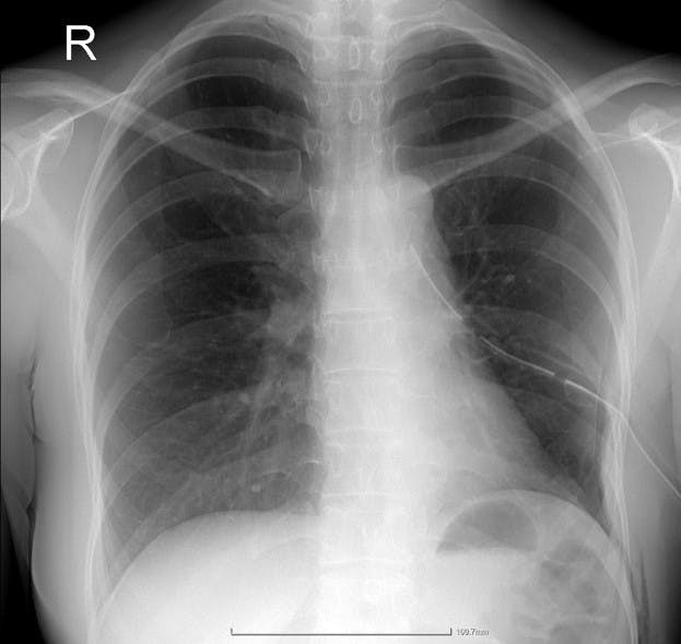
Rezultatul
Radiografia postoperatorie a arătat o expansionare pulmonară completă a lobului superior restant, iar pacienta a fost externată după doar trei zile, beneficiind de o recuperare rapidă și de protecția oncologică oferită de rezecția completă.

De ce este importantă tehnica VATS uniportal
Lobectomia video-asistată printr-o singură incizie:
- scade durerea postoperatorie
- reduce riscul de complicații
- scurtează spitalizarea
- oferă rezultate oncologice comparabile cu chirurgia clasică
- asigură recuperarea rapidă cu o reintegrare socială și profesională imediată a pacienților.

Această intervenție demonstrează nivelul înalt de expertiză disponibil în cadrul Spitalului MONZA, unde Dr. Alin Burlacu și Dr. Bogdan Tănase efectuează constant proceduri toracice microinvazive, oferind pacienților șansa la tratamente moderne, sigure ce oferă pacienților o recuperare rapidă.
Distribuie:
Articole din categoria Chirurgie toracică
Articole mai noi
- Anevrism toraco-abdominal în context de sindrom MARFAN – chirurgie aortică de înaltă complexitate
- MONZA ARES marchează o dublă premieră în imagistica cardiovasculară: dr. Ofelia Niță și primul Revolution Vibe CT din sistemul privat
- MONZA ARES investește peste 5 milioane de euro într-un ecosistem integrat de diagnostic și tratament cardiovascular
- Program avansat de training pentru diagnosticul și tratamentul microinvaziv al afecțiunilor cardiovasculare
- Ablație prin radiofrecvență de extrasistole ventriculare pentru un sportiv adolescent cu cardiomiopatie dilatativă tahiaritmică și extrasistole ventriculare frecvente
Articole mai vechi
- Intervenție chirurgicală reușită pentru defect septal ventricular și stenoză medioventriculară severă la un copil de 3 ani
- Două cazuri complexe de fibrilație atrială tratate cu succes prin tehnica „Marshall Plan”
- Tratamentul chirurgical al unui anevrism aortic subrenal cu endoleak de tip I – o intervenție complexă realizată cu succes în cadrul MONZA ARES
- Închidere DSA total endoscopică prin minitoracotomie periaureolară – chirurgie cardiacă minim invazivă cu rezultate spectaculoase
- Corecție chirurgicală completă pentru Tetralogie Fallot la un sugar de 10 luni



