(CTO) Leziuni cronice totale pe arterele inimii tratate prin dezobstrucție percutană la ARES Constanța

Distribuie:
Cuprins
Iulia Lipan îți răspunde la toate întrebările despre procedură!
Iulia Lipan, ARES Helper

Iulia Lipan îți răspunde la toate întrebările despre procedură!
Iulia Lipan, ARES Helper

CTO (CHRONIC TOTAL OCCLUSIONS) – Cum afectează arterele inimii?
Ocluziile cronice totale sunt rezultatul acumulării severe de depozite de grăsime sau plăci de aterom în interiorul arterelor coronare (care determină închiderea completă a vasului și care au o vechime mai mare de 3 luni) și reprezintă una dintre complicațiile bolii coronariene. Boala coronariană apare atunci când artera sau arterele care furnizează sânge către inimă se îngustează sau se blochează din cauza procesului de ateroscleroză. Când inima nu primește suficient sânge, un pacient poate resimți dureri în piept (angină), dificultăți de respirație sau în cele mai severe cazuri, poate suferi un infarct miocardic acut.
Simptomele ocluziilor cronice totale
Persoanele cu ocluzii cronice totale pot prezenta următoarele simptome:
- Durere în piept, presiune toracică (angina pectorală)
- Dificultăți de respirație
- Ameţeală
- Oboseală
- Greaţă
- Durere în partea superioară a corpului și în brațe
- Bătăi rapide sau neregulate ale inimii
Tratament cu stenturi pentru ocluzia cronică totală – Caz pacient ARES
Vă prezentăm cazul unui pacient ARES, în vârstă de 42 de ani, care a experimentat angina pectorală de repaus cu durată de 2-3h, în urmă cu aproximativ un an de zile. După 6 luni de la acest eveniment, pacientul s-a adresat unui medic cardiolog pentru efectuarea unui consult de specialitate. Rezultatul electrocardiogramei a decelat modificări ECG care indicau prezența unei ischemii la nivelul inimii, iar monitorizarea holter ECG/24h a indicat o tahicardie ventriculară nesusținută, o aritmie cardiacă periculoasă.
Pentru a descoperi cu exactitate ce afectare exista la nivelul inimii, medicul cardiolog a recomandat efectuarea unei coronarografii, investigație cu ajutorul căreia cardiologul interventionist poate vedea ce se întâmplă în interiorul arterelor inimii. Coronarografia sau angiografia coronariană este o procedură de scurtă durată, se efectuează cu anestezie locală și printr-o simplă puncție la nivelul mâinii sau a piciorului. După efectuarea puncției, medicul cardiolog intervenționist introduce o sondă subțire pe care o ghidează prin interiorul vaselor de sânge până ajunge la nivelul arterelor care alimentează inima. Aici injectează o substanță specială care opacifiază vasele de sânge și astfel poate observa pe monitorul aparatului dacă pe arterele inimii există blocaje în calea curgerii normale a sângelui.
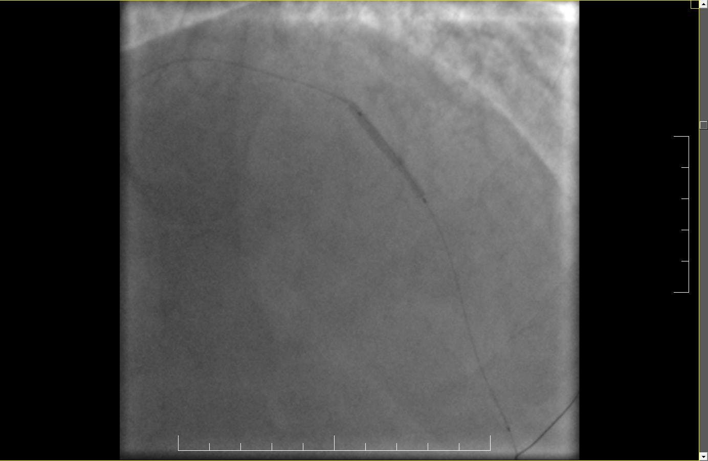
În cazul pacientului nostru, coronarografia a arătat o ocluzie scurtă pe artera descendentă anterioară (ADA II).
Având în vedere că ne aflăm în fața unui pacient cu o arteră închisă complet de aproximativ un an, acesta a fost trimis către o scintigrafie miocardică, o procedură suplimentară care evaluează fluxul de sânge de la nivelul inimii folosind radiotrasori și care poate preciza cu exactitate cât de afectată este artera coronară. (*semnficația ischemică la nivelul miocardului (mușchiul inimii irigat de respectiva arteră închisă, comparând depunerea la repaus și efort a radiotrasorilor care se depun în miocard).
Rezultatul scintigrafiei a completat imaginea de ansamblu și a arătat că la nivelul arterei descendente anterioare există o ischemie importantă care necesită tratament imediat. Fig. 1
Pentru un rezultat cât mai concludent, pacientul a fost trimis către o scintigrafie miocardică, o procedură suplimentară care evaluează fluxul de sânge de la nivelul inimii folosind radiotrasori și care poate preciza cu exactitate cât de afectată este artera coronară.
Rezultatul scintigrafiei a completat imaginea de ansamblu și a arătat că la nivelul arterei descendente anterioare există o ischemie importantă care necesită tratament imediat. Fig. 1

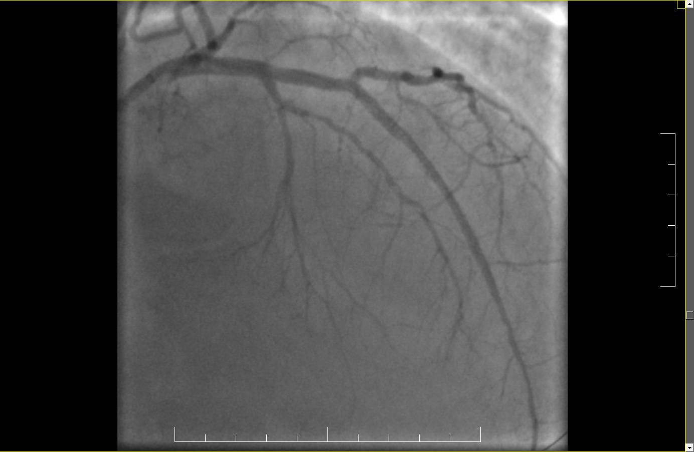
Astfel, echipa medicală formată din doctor Nicolae Cârstea, medic cardiolog interventionist și dr. Cezar Uzea, medic rezident a efectuat procedura de tratament CTO prin implantarea a două stenturi farmacologice active la nivelul vaselor îngustate.
Rezultatul procedurii este unul foarte bun, pacientul nu a mai resimțit angina pectorală și a fost externat în stare optimă. Este deosebit de important să țină cont de recomandările medicale legate de adoptarea unui stil de viață sănătos, să respecte tratamentul medicamentos prescris și să revină la controalele cardiace periodice. În imaginea de mai jos se poate observa fluxul de sânge normal din arterele inițial blocate. (Fig.2)


Cum se realizează procedura de CTO?
Dacă până în urmă cu câțiva ani, variantele de tratament pentru pacienții diagnosticați cu ocluzii cronice totale erau reprezentate de medicamente sau de operații chirurgicale de tip bypass, operații care prezintă un risc intra-operator mare și o durată mult mai lungă de recuperare, în prezent, există tratamentul intervențional pentru aceste afecțiuni cardiace.
Cu un grad sporit de dificultate, metoda minim invazivă pentru tratamentul ocluziei cronice totale presupune o anestezie locală în zona aleasă ca abord, puncționarea arterei femurale (de la nivelul piciorului) sau arterei brahiale (de la nivelul mâinii), urmată de introducerea cateterelor în arterele pacientului. Aceste instrumente medicale denumite și sonde subțire, sunt apoi ghidate prin interiorul vaselor de sânge până la nivelul arterelor inimii.
Aici, medicul folosește substanța de contrast și identifică zonele blocate sau îngustate ale arterei/arterelor.
Ulterior, va folosi catetere (microcatetere și ghiduri special concepute care să reușească să traverseze o zonă de la nivelul arterei coronariene complet închisă) predispuse în capăt cu un balon medical. Acesta este poziționat în interiorul stenozei din arteră urmând să fie umflat. În momentul expandării lui, balonul aplatizează depunerile de grăsime și le împinge spre peretele vasului de sânge făcând loc sângelui să circule normal. De cele mai multe ori, pentru a evita reîngustarea arterei, medical cardiolog interventionist implantează un stent metalic.
Stentul este un dispozitiv mic din metal asemănător unui arc de pix. Este implantat cu ajutorul unui cateter special, dispus în vârf cu un balon și un stent. În momentul umflării balonului, stentul se expandează simultan și aplatizează placa de aterom. După implantarea de stent, medicul injectează din nou substanță de contrast pentru a verifica poziția stentului și fluxul sanguin. Procedura se finalizează, instrumentele medicale se retrag, iar la locul unde a fost făcută puncția, se va realiza un pansament compresiv.
Iulia Lipan îți răspunde la toate întrebările despre procedură!
Iulia Lipan, ARES Helper

Iulia Lipan îți răspunde la toate întrebările despre procedură!
Iulia Lipan, ARES Helper

Distribuie:
Articole din categoria Ocluzii cronice totale
Articole mai noi
- Anevrism toraco-abdominal în context de sindrom MARFAN – chirurgie aortică de înaltă complexitate
- MONZA ARES marchează o dublă premieră în imagistica cardiovasculară: dr. Ofelia Niță și primul Revolution Vibe CT din sistemul privat
- MONZA ARES investește peste 5 milioane de euro într-un ecosistem integrat de diagnostic și tratament cardiovascular
- Program avansat de training pentru diagnosticul și tratamentul microinvaziv al afecțiunilor cardiovasculare
- Ablație prin radiofrecvență de extrasistole ventriculare pentru un sportiv adolescent cu cardiomiopatie dilatativă tahiaritmică și extrasistole ventriculare frecvente
Articole mai vechi
- Revascularizarea intervențională de stenoză intra-bypass la un pacient cu cvadruplu bypass aortocoronarian
- Leziuni tricoronariene severe tratate în urgență la ARES Tulcea
- Durerea în piept, semn că inima se află în suferință
- Anevrismul de aortă și tratamentul endovascular
- Ce facem când arterele inimii sunt sever calcifiate? Apelăm la rotablație.

