Trombembolism pulmonar - Cauze, simptome, tratament

Distribuie:
Cuprins
Ce este tromboembolismul pulmonar?
Tromboembolismul pulmonar este o afecțiune medicală gravă care apare atunci când un cheag de sange migrează din circulația venoasă și ajunge în arterele pulmonare, provocând o obstrucție care împiedică fluxul normal de sânge către țesutul pulmonar. Această afecțiune poate pune viața în pericol, deoarece privează plămânii de oxigenul necesar, ceea ce poate duce la complicații severe dacă nu este tratată prompt și eficient.
Cauzele tromboembolismului pulmonar
Tromboembolismul pulmonar este adesea cauzat de cheaguri de sânge formate în venele profunde ale membrelor inferioare, condiție cunoscută sub numele de tromboză venoasă profundă. Cheagurile de sânge pot apărea din mai multe motive, inclusiv:
- Imobilizarea prelungită la pat: Pacienții care sunt imobilizați pentru perioade lungi, cum ar fi în urma unui infarct miocardic sau a unui accident vascular cerebral, sunt la un risc crescut de a dezvolta cheaguri de sânge.
- Intervenții chirurgicale: Diverse proceduri chirurgicale, în special cele ortopedice, cresc riscul de formare a cheagurilor de sânge.
- Călătorii lungi: O altă cauză frecventă este imobilizarea prelungită în timpul călătoriilor lungi cu avionul sau trenul, unde lipsa de mișcare poate favoriza tromboza venoasă profundă.
- Embolia cu aer, țesut adipos sau fragmente tumorale: În unele cazuri, embolia poate fi cauzată de alte substanțe, cum ar fi aerul, țesutul adipos eliberat în urma fracturilor osoase sau fragmentele tumorale care ajung în circulația pulmonară.
Deși atât femeile, cât și bărbații prezintă un risc similar de a dezvolta tromboembolism pulmonar, riscul crește odată cu vârsta. Factori suplimentari de risc includ antecedentele de tromboză venoasă profundă, fumatul, prezența cateterelor venoase centrale, sarcina, obezitatea, fracturile osoase și imobilizarea la pat.
Simptomele tromboembolismului pulmonar
Tromboembolismul pulmonar poate prezenta o gamă largă de simptome, care variază în funcție de severitatea blocajului și de cât de mare este aria afectată a plămânului. Printre simptomele comune se numără:
- Dispneea: Dificultatea de a respira este un simptom major al tromboembolismului pulmonar.
- Junghi toracic: O durere toracică bruscă și intensă, care se agravează la respirație profundă sau tuse.
- Tuse: Uneori, tusea poate fi însoțită de hemoptizie (sânge în spută).
- Tahicardie și tahipnee: Creșterea ritmului cardiac și a frecvenței respirației sunt răspunsuri comune ale corpului la tromboembolismul pulmonar.
- Sincopă: Pierderea temporară a cunoștinței poate apărea în cazurile severe.
- Cianoza: O tentă albăstruie a pielii și a mucoaselor, semn al hipoxiei.
Aceste simptome, în combinație cu factori de risc precum antecedentele de tromboză venoasă profundă, impun o evaluare imediată pentru a exclude sau confirma diagnosticul de tromboembolism pulmonar. În plus, pacienții pot experimenta anxietate, transpirații excesive și palpitații.
Diagnosticul tromboembolismului pulmonar
Diagnosticul tromboembolismului pulmonar se bazează pe o combinație de evaluare clinică, teste de laborator și imagistică. Unul dintre primii pași în diagnostic este evaluarea nivelului de D-dimeri în sânge, un produs de degradare a fibrinei. Un rezultat negativ al testului D-dimer, combinat cu absența altor factori de risc, poate exclude tromboembolismul pulmonar.
Teste imagistice utilizate pentru confirmarea diagnosticului includ:
- Ecografia de membre inferioare: Aceasta este folosită pentru a detecta prezența trombilor în sistemul venos profund.
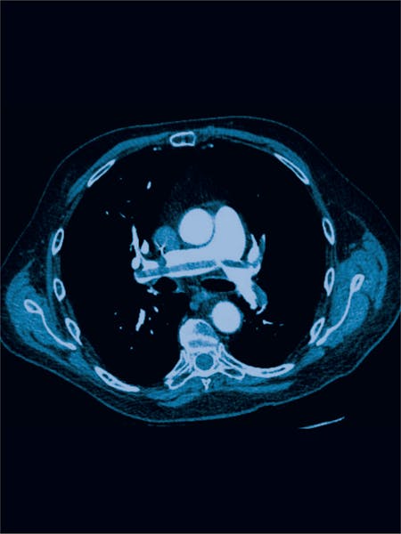
- CT-ul toracic: Un tomograf computerizat poate identifica cheagurile de sânge în arterele pulmonare.
- Angiografia pulmonară: Considerată metoda de referință, această investigație invazivă implică introducerea unui cateter printr-o venă, până la vasele pulmonare, și injectarea unui agent de contrast pentru a vizualiza obstrucția.
Diagnosticul diferențial este esențial pentru a distinge tromboembolismul pulmonar de alte afecțiuni cu simptome similare, cum ar fi sindroamele coronariene acute, pericardita acută, insuficiența cardiacă congestivă și edemul pulmonar.
Tratamentul tromboembolismului pulmonar
Tratamentul tromboembolismului pulmonar depinde de severitatea afecțiunii și de starea generală a pacientului. În faza acută, tratamentul principal constă în administrarea de anticoagulante pentru a preveni creșterea cheagului și a împiedica formarea altor cheaguri. Cele mai frecvent utilizate anticoagulante includ:
- Heparină nefracționată: Este administrată intravenos și necesită monitorizarea atentă a timpului de tromboplastină parțial activat (aPTT).
- Heparine cu greutate moleculară mică: Acestea sunt administrate subcutanat și nu necesită o monitorizare constantă, fiind utilizate frecvent în absența disfuncției renale severe.
- Terapia trombolitică: În cazurile severe, în care viața pacientului este în pericol, se poate utiliza un agent trombolitic pentru a dizolva rapid cheagul. Această abordare este rezervată situațiilor critice, datorită riscului crescut de sângerare.
În unele cazuri, pacienții care nu pot fi tratați cu anticoagulante pot necesita intervenții chirurgicale. Una dintre opțiunile chirurgicale este plasarea unui filtru de venă cavă, un dispozitiv care împiedică migrarea cheagurilor către plămâni. Deși această metodă previne tromboembolismul pulmonar, ea nu oprește formarea de noi cheaguri de sânge.
Prevenția tromboembolismului pulmonar
Prevenția este esențială pentru pacienții cu risc crescut de tromboembolism pulmonar. Măsurile preventive includ:
- Respectarea tratamentului prescris de medic, mai ales dacă suferi de afecțiuni cardiovasculare.
- Exerciții fizice regulate: Activitatea fizică zilnică, timp de cel puțin 30 de minute, ajută la prevenirea formării cheagurilor.
- Hidratarea corectă: Consumul a cel puțin 2 litri de apă pe zi este esențial pentru menținerea unui flux sanguin sănătos.
- Purtarea ciorapilor compresivi medicinali: Aceștia pot reduce riscul de tromboză venoasă profundă în timpul călătoriilor lungi sau în alte situații de imobilizare prelungită.
Complicațiile tromboembolismului pulmonar
Una dintre complicațiile majore ale tromboembolismului pulmonar este insuficiența ventriculară dreaptă, care apare atunci când inima nu poate pompa suficient sânge către plămâni din cauza presiunii crescute în artera pulmonară. Acest lucru poate duce la simptome severe, cum ar fi dispneea declanșată de efort, hepatomegalie (mărirea ficatului), edeme ale membrelor inferioare și insuficiență tricuspidiană.
Complicații pe termen lung ale tromboembolismului pulmonar
Tromboembolismul pulmonar poate avea complicații pe termen lung, care includ hipertensiunea pulmonară cronică tromboembolică (CTEPH). Aceasta este o afecțiune rară, dar gravă, care apare atunci când cheagurile de sânge nu sunt complet resorbite și blochează arterele pulmonare pe termen lung. CTEPH poate duce la insuficiență cardiacă dreaptă și la o scădere semnificativă a capacității de efort a pacientului.
Monitorizarea și tratamentul pacienților cu risc de CTEPH sunt esențiale. În unele cazuri, poate fi necesară o intervenție chirurgicală pentru a elimina cheagurile rămase din arterele pulmonare, procedură cunoscută sub numele de tromboendarterectomie pulmonară.
Informații suplimentare
Tromboembolismul pulmonar este o afecțiune complexă care necesită o abordare interdisciplinară pentru diagnosticare și tratament. În plus, gestionarea pe termen lung a pacienților include educația acestora cu privire la riscurile și măsurile preventive, precum și monitorizarea constantă pentru a preveni reapariția episoadelor.
Bibliografie:
Mayo Clinic - Pulmonary Embolism
Link: Mayo Clinic
Cleveland Clinic - Pulmonary Embolism
Link: Cleveland Clinic
National Institutes of Health - Pulmonary Embolism
Link: NIH - Pulmonary Embolism
Johns Hopkins Medicine - Pulmonary Embolism
Link: Johns Hopkins Medicine
Distribuie:
Afecțiuni mai noi
- Hipertrofie ventriculară stângă: ce este, cum se manifestă și opțiuni de tratament
- Piciorul diabetic – cauze, simptome și tratament
- Fibroza pulmonară: cauze, simptome, diagnosticare și tratament
- Stopul cardio-respirator: cauze, simptome si opțiuni de tratament
- Fluctuațiile tensiunii arteriale: Cauze, diagnostic și opțiuni de tratament

