Noutăți MONZA ARES
Semne de infarct
Infarctul de miocard sau atacul de cord rezultă după ce o porțiune a inimii nu mai este alimentată cu sânge (ischemie). Deoarece celulele au nevoie constantă de oxigen și de alți nutrieți din sânge, lipsa acestora duce, în timp, la moartea celulelor.
Electrocardiograme gratuite și în luna Iulie
Campania de screening cardiac pentru copii ”Nicio Zi fără Joacă” se prelungește și în luna iulie. Află cum poate beneficia copilul tău de EKG și consult cardiac gratuit.
Medici străini se specializează la București - Centrele ARES | Lider in Cardiologie
Medici din Turcia, Egipt și Rusia se specializează la București în tratamentul minim-invaziv al adenomului de prostată.
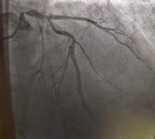
Recuperarea după coronarografie
Angiografia coronariană sau coronarografia este o procedură medicală prin care se poate diagnostica o boală coronariană, prin identificarea precisă a locurilor în care arterele coronare sunt îngustate.
Premiera Medicala la Ares - Piciorul cu leziuni ulceroase al unei femei care suferea de diabet, salvat cu ajutorul unui dispozitiv folosit pentru prima dată în Romania
O nouă premieră medicală la ARES: Piciorul cu leziuni ulceroase al unei femei care suferea de diabet, salvat cu ajutorul unui dispozitiv folosit pentru prima dată în România
Insuficiența cardiacă
Insuficiența cardiacă apare atunci când mușchiul inimii nu poate pompa suficient sânge. Mai multe afecțiuni pot cauza insuficiența cardiacă. Printre cele mai frecvente sunt: afecțiuni ale arterelor inimii ( arterele coronare sunt îngustate de depuneri de calciu și alte materiale din sânge) și hipertensiunea arterială.
Fibromul uterin - cauze, simptome, riscuri si tratament
Fibromul uterin este cea mai frecventă formațiune necanceroasă care se poate dezvolta mai ales în cazul femeilor cu vârsta cuprinsă între 30 și 50 de ani.
Despre Coronarografie - ce este și cât durează o astfel de procedură?
Coronarografie : procedură medicală unică ce permite verificarea precisă a condițiilor de sănătate a arterelor care alimentează inima. Prin intermediul acesteia, este posibilă depistarea îngustărilor vaselor de sânge, care poartă numele de stenoze.
Fibromul Uterin - responsabil de creșterea în greutate?
În fiecare an mii de femei din întreaga lume sunt diagnosticate cu fibrom uterin. În România peste 50% dintre femeile cu vârsta cuprinsă între 21 și 49 de ani primesc acest diagnostic.
Dr. Alexandra Postu: Cum tratăm infarctul miocardic acut prin cardiologie intervențională?
Boala cardiacă ischemică (BCI) resprezintă cea mai frecventă cauză de deces la nivel global. În Europa, circa 20% din totalul deceselor sunt provocate de această afecțiune.











