Te poti salva singur de la un potential infarct atunci cand recunosti simptomele prevestitoare!

Articol medical scris de către Dr. Nicolae Cârstea, Cardiologie intervențională la MONZA ARES Bucuresti, Constanta, Constanța
Distribuie:
Este și cazul unei paciente de 75 de ani ajunsă la ARES Constanța pentru efectuarea unei coronarografii de urgență!
Cunoscută cu hipertensiune arterială, diabet și dislipidemie, cu un stil de viață sedentar și un obicei nociv precum fumatul, pacienta s-a adresat medicilor pentru că resimțea o durere toracică anterioară destul de severă, durere care nu ceda.
Pacienta a acționat foarte bine atunci când a solicitat serviciul de urgență al SCJU din Constanța. Primul simptom al inimii bolnave este chiar angina pectorală, această durere în piept, în torace sau cum se mai numește în popor, „gheara în piept”. Fără un diagnostic corect și mai ales, fără intervenție la timp, ar fi putut suferi un infarct miocardic și și-ar fi putut pierde viața.

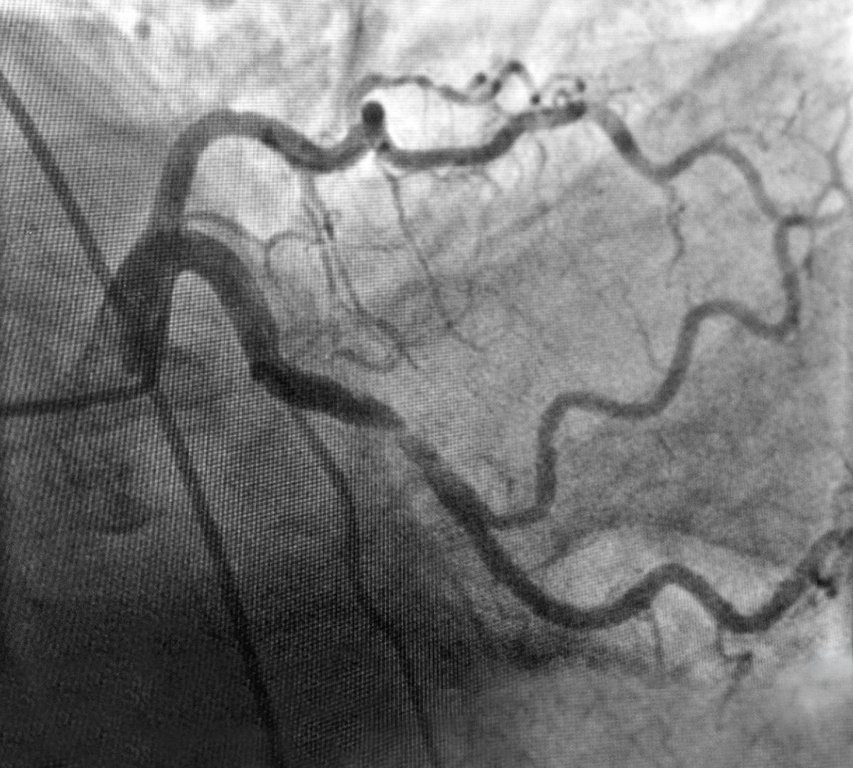
Ajunsă în sala de angiografie ARES Constanța, doctorul Nicolae Cârstea i-a efectuat angiografia coronariană, porcedură care evidențiează eventuale blocaje de la nivelul arterelor inimii.
În timpul procedurii, doctorul Cârstea a observat că pe una dintre arterele inimii ( ACX – artera circumflexă) există o îngustare, o stenoză de 80% responsabilă de durerea toracică resimțită de pacientă.
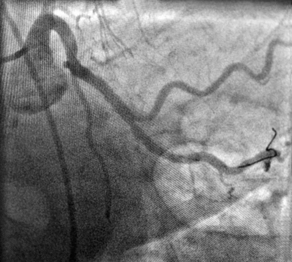
Tratamentul de elecție în astfel de cazuri este reprezentat de implantarea de stenturi, procedură denumită angioplastie coronariană. Practic, la nivelul vaselor îngustate, medicul cardiolog intervenționist implantează stenturi metalice pentru a reda circulația normală a sângelui și a salva mușchiul cardiac.

Astfel, în cazul prezentat mai sus, doctorul Nicolae Cârstea, medic cardiolog intervenționist la Ares Constanța, a efectuat angioplastia coronariană iar rezultatul este unul foarte bun.
Pacienta se află în afara oricărui pericol și urmează un tratament medicamentos recomandat de medicul cardiolog. Va reveni la controlul periodic post angioplastie și va respecta indicațiile echipei medicale.
Iulia Lipan îți răspunde la toate întrebările legate de această procedură.
Iulia Lipan, ARES Helper

Iulia Lipan îți răspunde la toate întrebările legate de această procedură.
Iulia Lipan, ARES Helper

Distribuie:
Articole din categoria Cardiologie clinica
Articole mai noi
- MONZA ARES marchează o dublă premieră în imagistica cardiovasculară: dr. Ofelia Niță și primul Revolution Vibe CT din sistemul privat
- MONZA ARES investește peste 5 milioane de euro într-un ecosistem integrat de diagnostic și tratament cardiovascular
- Program avansat de training pentru diagnosticul și tratamentul microinvaziv al afecțiunilor cardiovasculare
- Ablație prin radiofrecvență de extrasistole ventriculare pentru un sportiv adolescent cu cardiomiopatie dilatativă tahiaritmică și extrasistole ventriculare frecvente
- Piciorul diabetic poate fi salvat: Patru cazuri reale de pacienți cu ischemie critică tratați fără amputație





















