Leziune severă de trunchi comun tratată cu succes la ARES Constanța

Distribuie:
Cuprins
Ce este boala coronariană?
Boala coronariană este o afecțiune frecventă a inimii care se dezvoltă de-a lungul vieții unui individ. Odată cu înaintarea în vârstă, în interiorul vaselor de sânge din corpul nostru se vor depune materiale lipidice din sânge, spre exemplu, calciu și colesterol, materiale care în timp, vor îngroșa pereții arterelor și vor îngreuna circulația sângelui la acest nivel. În termeni medicali, acest proces poartă numele de ateroscleroză.
În lipsa unor măsuri de prevenție, cum ar fi stilul de viață echilibrat, exercițiile fizice pentru menținerea unei greutăți corporale optime, renunțarea la anumite obiceiuri nocive, precum consumul excesiv de alcool sau fumatul, lipsa controalelor medicale și a efectuării periodice a analizelor de rutină, ateroscleroza avansează și produce, în cele din urmă, evenimente cardiace care pot pune viața în pericol.
Semnele și simptomele bolii coronariene apar atunci când inima nu mai primește suficient sânge bogat în oxigen. Un pacient cu boală coronariană poate resimți dureri în piept (angina pectorală) și dificultăți de respirație.
În lipsa investigațiilor cardiace și a tratamentului corespunzător, o blocare completă a fluxului sanguin poate provoca un infarct ( atac de cord, în cazul acestui pacient artera afectată este trunchiul comun (artera care vascularizează 85% din mușchiul inimii) și care prezenta o stenoză (un blocaj de 99%).

Caz de subocluzie de trunchi comun tratat la ARES Constanța
Este și cazul pacientului nostru în vârsta de 68 de ani care a apelat serviciul de urgență al Spitalului Județean Constanța pentru că resimțea dureri în piept și avea dificultăți de respirație. Odată ajuns în grija medicilor UPU, investigațiile efectuate au indicat prezența unui infarct miocardic acut.
În astfel de cazuri este important să se intervină imediat pentru a salva viața pacientului. Astfel doctorul Nicolae Cârstea, medic cardiolog intervenționist la centrul de cardiologie ARES Constanța, a efectuat în urgență angiografia coronariană (coronarografie) pentru a depista vasele de sânge de la nivelul inimii blocate de depunerile de grăsime.
Coronarografia este cea mai importantă investigație în cazurile de infarct deoarece cu ajutorul acesteia, medicul poate observa imediat unde se găsesc blocajele de la nivelul arterelor inimii și poate iniția tratamentul intervențional pentru salvarea pacientului.
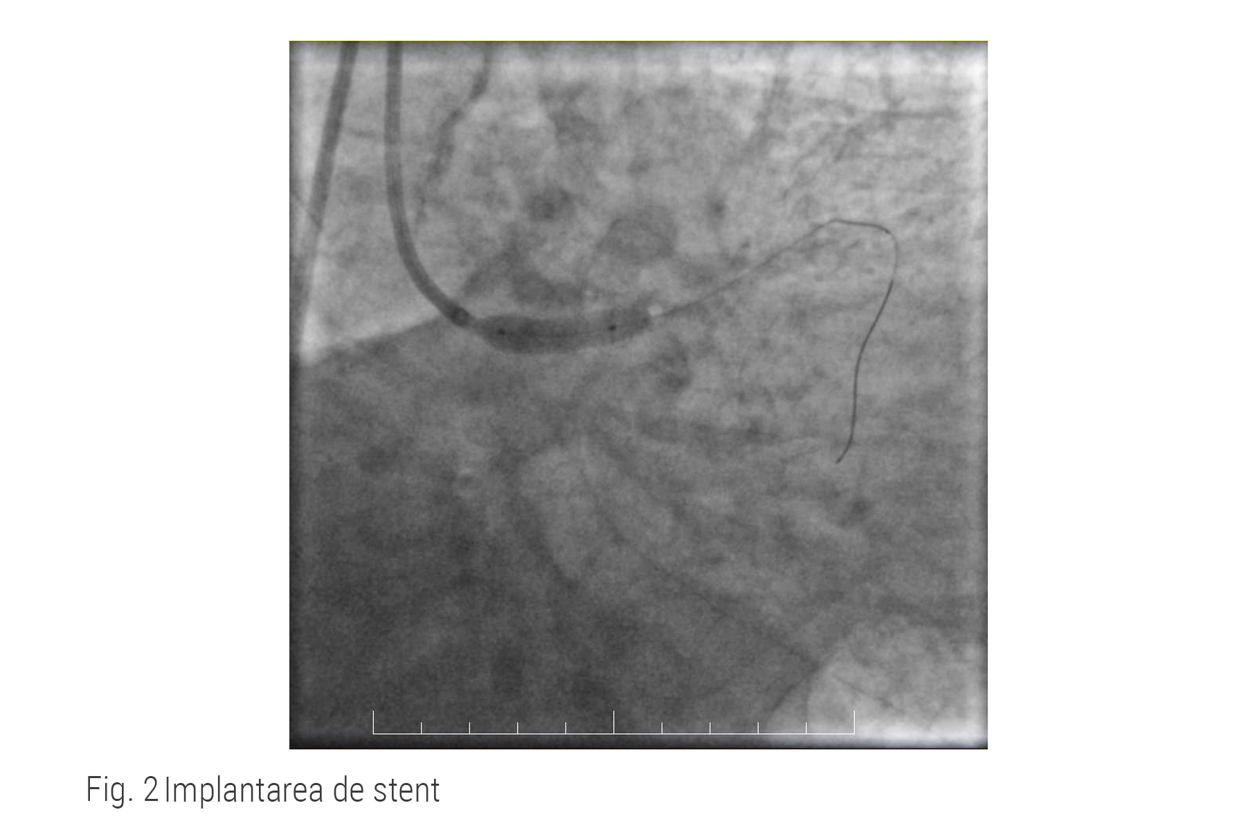
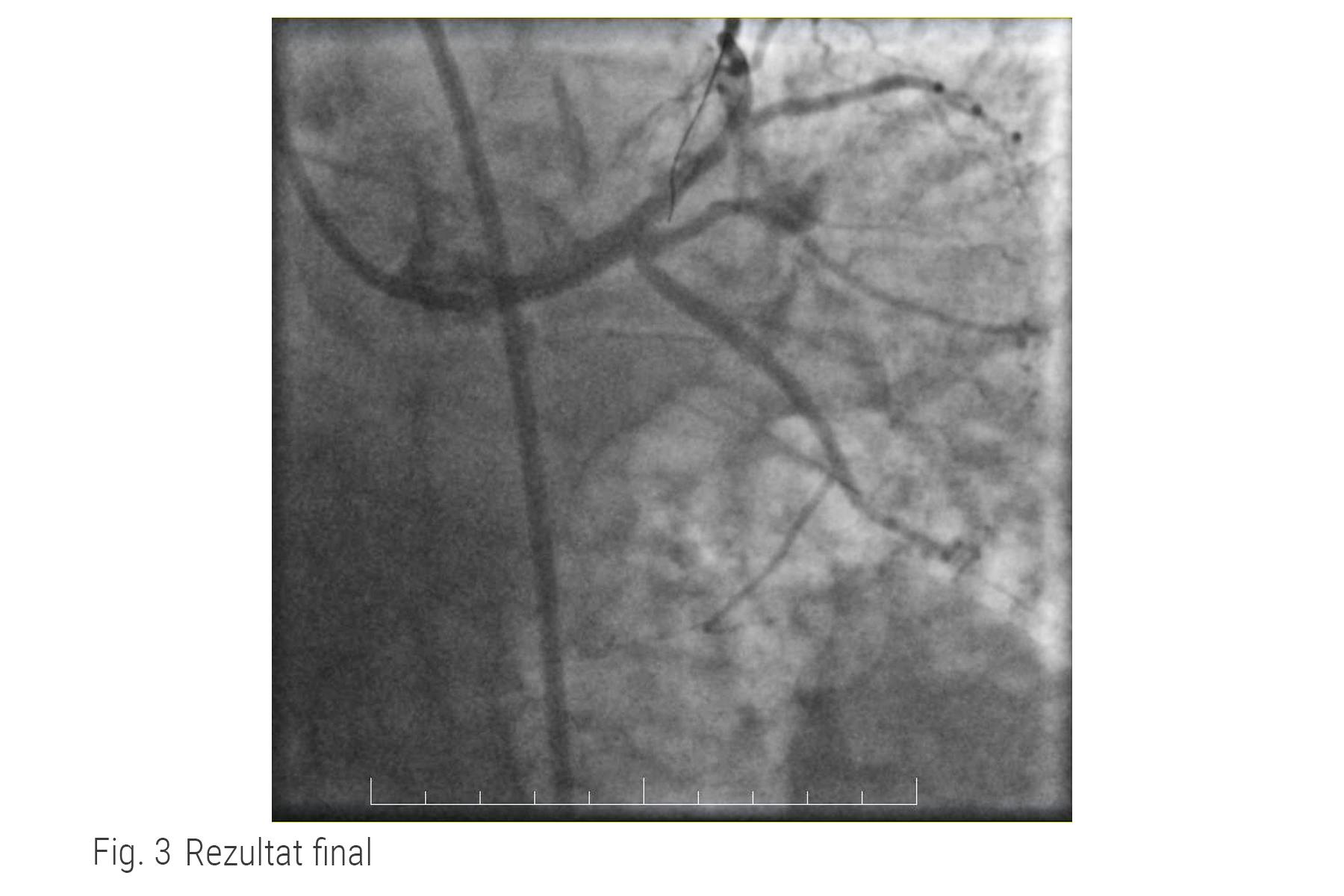
În cazul pacientului nostru, s-a efectuat coronarografia de urgență, s-au identificat zonele îngustate și s-a efectuat tratamentul prin angioplastie cu stent.
Ce este angioplastia cu balon și stent?
Angioplastia cu balon și/sau stent este una dintre procedurile salvatoare de vieți în cazul pacienților cu infarct miocardic acut. Atunci când una sau mai multe dintre arterele inimii suferă de leziuni care nu permit circulația normală a sângelui, medicul intervenționist va introduce un cateter pe artera femurală ( la nivelul coapsei piciorului ), instrument pe care îl va ghida radioscopic până la nivelul inimii.
Odată ajuns la nivelul inimii, va observa zonele îngustate cu ajutorul substanței de contrast injectate și va efectua manevra intervențională de umflare a unui mic balonaș poziționat în vârful cateterului. Rolul acestei manevre este acela de a aplatiza, a împinge depunerile de grăsime în pereții arterei și a face loc sângelui să circule normal.
În unele cazuri, doar umflarea balonașului este suficientă pentru a reda cirulația normală însă în multe dintre cazuri, medicii cardiologi intervenționiști recurg la implantarea unui mic dispozitiv denumit stent, menit să mențină vasul de sânge deschis și să nu mai permită reîngustarea vasului de sânge.


Rezultat caz ARES
În ceea ce îl privește pe pacientul nostru, acesta se află în afara oricărui pericol cardiac, rezultatul procedurii este un succes medical, iar el este externat în stare foarte bună cu mențiunea de a respecta recomandările medicale și de a reveni la controlul periodic.
Boala coronariană se dezvoltă adesea de-a lungul deceniilor. Simptomele pot trece neobservate până când un blocaj semnificativ provoacă probleme sau apare un atac de cord. Respectarea unui stil de viață sănătos pentru inimă poate ajuta la prevenirea bolilor coronariene.
Paula Gurei îți răspunde la toate întrebările legate de această procedură!
Paula Gurei, Ares Helper

Paula Gurei îți răspunde la toate întrebările legate de această procedură!
Paula Gurei, Ares Helper

Distribuie:
Articole din categoria Cardiologie intervențională
Articole mai noi
- MONZA ARES marchează o dublă premieră în imagistica cardiovasculară: dr. Ofelia Niță și primul Revolution Vibe CT din sistemul privat
- MONZA ARES investește peste 5 milioane de euro într-un ecosistem integrat de diagnostic și tratament cardiovascular
- Program avansat de training pentru diagnosticul și tratamentul microinvaziv al afecțiunilor cardiovasculare
- Ablație prin radiofrecvență de extrasistole ventriculare pentru un sportiv adolescent cu cardiomiopatie dilatativă tahiaritmică și extrasistole ventriculare frecvente
- Piciorul diabetic poate fi salvat: Patru cazuri reale de pacienți cu ischemie critică tratați fără amputație
Articole mai vechi
- Artimia cardiacă identificată de un Smartwatch și tratată prin ablație cu radiofrecvență
- Când și de ce trebuie schimbat un stimulator cardiac?
- (CTO) Leziuni cronice totale pe arterele inimii tratate prin dezobstrucție percutană la ARES Constanța
- Revascularizarea intervențională de stenoză intra-bypass la un pacient cu cvadruplu bypass aortocoronarian
- Leziuni tricoronariene severe tratate în urgență la ARES Tulcea





















