Primul caz din România de implantare transcateter a unei proteze biologice în valva mitrală nativă pentru stenoza severă calcificată (MAC)

Distribuie:
Cuprins
Descrierea cazului
Vă prezentăm cazul unei paciente de 76 de ani cu o patologie cardiovasculară complexă, care a necesitat intervenții medicale avansate și precise. Pacienta prezintă o istorie medicală extinsă, incluzând hipertensiune arterială, diabet insulinodependent, dislipidemie și obezitate. În plus, a fost diagnosticată cu boală coronariană ischemică cu leziuni tricoronariene, stenoză mitrală severă de etiologie degenerativă și aortă de porțelan, nefiind un candidat pentru intervenția chirurgicală de revascularizare miocardică și protezare mitrală. Întrucât revascularizarea chirurgicală a miocardului și protezarea mitrală chirurgicală nu erau soluții viabile din cauza prezentei aortei de porțelan și a anatomiei nefavorabile datorată calcificărilor extensive valvulare, s-a optat pentru revascularizare miocardică intervențională și ulterior, implantarea percutană a unei proteze biologice în poziție mitrală.
Diagnosticul de stenoză mitrală strânsă degenerativă a fost stabilit pe baza examenului ecocardiografic, realizat de dr. Irina Macovei-Dorobanțu, medicul cardiolog care s-a ocupat de pacienta pe toată durata spitalizării.
1. Imagine ecografie transesofagiană valva mitrală cu calcificări importante la nivelul cuspelor și al inelului, cu mobilitate limitată a cuspelor
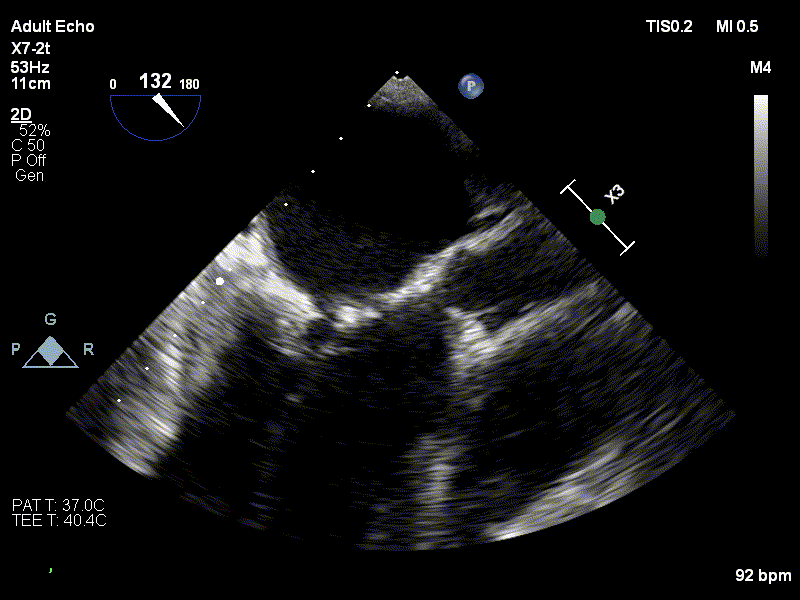
2. Imagine ecografie transesofagiană, valvă mitrală cu regurgitare minimă și stenoză semnificativă

3. Ecografie 3D valvă mitrală cu calcificări severe la nivelul cuspelor și al inelului, cu mobilitate mult diminuată

Simptomele și istoricul medical recent al pacientei
Pacienta s-a prezentat cu simptome de insuficiență cardiacă, cu dificultăță în respirație și fatigabilitate la eforturi medii, cât si dureri cu caracter de angină pectorală. Fusese spitalizată în ultimele 3 luni pentru două episoade de edem pulmonar acut, ceea ce a determinat necesitatea unei evaluări suplimentare și a unei intervenții medicale.
Edemul pulmonar reprezintă o acumulare de lichid în plămâni, datorată creșterii presiunilor din interiorul cavităților cardiace, frecvent asociată cu stenoza mitrală, ceea ce subliniază severitatea insuficienței cardiace la această pacientă.
La MONZA ARES din Spitalul Monza, pacienta a fost evaluată de echipa medicală și s-a propus un plan terapeutic care s-a desfășurat în mai multe etape. Prima procedură a avut loc în martie 2024, când a beneficiat de o revascularizare coronariană prin angioplastie, în cadrul căreia au fost implantate două stenturi active farmacologic pentru a trata stenozele din artera descendentă anterioară (LAD) și artera circumflexă (ACX). În pregătirea pentru implantarea percutană de proteză biologică în poziție mitrală, s-a efectuat o alcoolizare septală a septului interventricular, o procedură menită să reducă grosimea septului bazal pentru a preveni obstrucția fluxului de sânge către tractul de ieșire al ventriculului stâng (LVOT) și pentru a crea suficient spațiu pentru implantarea ulterioară a unei proteze mitrale.
Această a doua intervenție a fost complicată de apariția unui bloc atrioventricular complet, ceea ce a necesitat implantarea unui stimulator bicameral permanent.

Examinarea la internare și intervențiile medicale
În cea de-a doua etapă, pacienta a fost spitalizată pentru efectuarea procedurii de implantare a protezei pentru corectarea stenozei mitrale degenerative.

Procedura de implantare a protezei percutane
Astfel, echipa medicală formată din dr. Irina Macovei - Dorobranțu, medic specialist cardiolog, Dr. Iulian Călin, medic primar cardiolog, Dr. Dan Deleanu, medic primar cardiolog și Dr. Silviu Dumitrașcu, medic specialist cardiolog, a efectuat, sub anestezie generală și ghidaj ecocardiografic transesofagian, implantarea percutană a unei proteze biologice auto expandabile pe balon, folosită de obicei în procedura de TAVI (implantare transcateter a valvei aortice), în poziție mitrală, prin abord transfemural. Această procedură, deși considerată „off-label” pentru poziția mitrală, a fost acceptată de pacientă și familie după explicarea riscurilor și complicațiilor potențiale.
4. Ecografie 3D post implant proteză biologică Edwards Sapien 3 în poziție mitrală (TAVI in MAC)

Procedura a fost efectuată cu succes, proteza fiind poziționată corect la nivelul valvei mitrale native, fără leak-uri paraprotetice și cu un gradient mitral maxim/mediu de 7/3 mmHg. De asemenea, nu s-au înregistrat semne de obstrucție în tractul de ieșire al ventriculului stâng. În plus, reevaluările ecocardiografice post-procedurale au confirmat că proteza funcționează normal.
5. Ecografie transesofagiană intraprocedurală la finalul procedurii, proteza corect poziționată la nivelul valvei mitrale, cuspe cu mobilitate bună
Evoluția post-procedurală și externarea
Evoluția post-procedurală a pacientei a fost favorabilă, fără episoade de angină sau insuficiență cardiacă. Ecografiile de control au arătat o funcționare normală a protezei, fără complicații semnificative sau leak-uri la nivelul valvei mitrale.
Pacienta a fost externată la 72 de ore de la procedură, stabilă din punct de vedere hemodinamic, cu recomandarea de a respecta un regim igienodietetic strict și tratamentul prescris. Aceasta a primit indicații de monitorizare a tensiunii arteriale și a glicemiei la domiciliu, ajustarea tratamentului anticoagulant pe baza monitorizării INR și controlul periodic al stimulatorului cardiac.
Un alt aspect important al tratamentului prescris a fost profilaxia endocarditei infectioase, o măsură preventivă crucială pentru a evita complicațiile infecțioase legate de proteza valvulară.
Concluzii
Cazul acestei paciente de 76 de ani evidențiază complexitatea gestionării bolilor cardiovasculare la pacienții cu comorbidități multiple și risc chirurgical ridicat.
În acest caz complex, rolul Heart Team a fost esențial pentru succesul intervenției. Heart Team este formată din specialiști de top în cardiologie, chirurgie cardiovasculară, imagistică medicală și anestezie, care lucrează împreună pentru a evalua și a decide cea mai bună strategie de tratament pentru fiecare pacient în parte. În cazul pacientei, această echipă a analizat cu atenție toate riscurile și beneficiile opțiunilor disponibile, având în vedere comorbiditățile și limitările impuse de calcificările severe ale valvei mitrale și aorta de porțelan. Datorită expertizei lor multidisciplinare, au optat pentru o soluție inovatoare, respectiv implantarea percutană a unei proteze mitrale, o procedură care a oferit o șansă reală de îmbunătățire a calității vieții pacientei, în condiții de siguranță. Această colaborare strânsă între specialiști subliniază importanța abordării multidisciplinare în tratarea bolilor cardiovasculare complexe.
Alegerea unei intervenții percutane, inovatoare și adaptate la situația particulară a pacientei, a fost o decizie crucială pentru asigurarea unei calități mai bune a vieții. Evoluția favorabilă post-procedurală demonstrează succesul echipei medicale în gestionarea unui caz extrem de dificil.
În cadrul acestei intervenții complexe, un rol crucial l-a avut echipa multidisciplinară, formată din specialiști dedicați care au colaborat pentru a asigura succesul operației. Medicii intervenționiști, responsabili de implantarea percutană a protezei, au fost sprijiniți de chirurgul cardiovascular, care a supervizat întregul proces, asigurându-se că toate etapele sunt efectuate în siguranță. Medicul anestezist, Dr. Silviu Cercel, a monitorizat constant starea pacientei pe durata procedurii, garantând o anestezie adecvată și o recuperare promptă. Asistentele de sală, as. Oana Brumă și as. Mihaela Ciobanu alături de tehnicianul de proteze valvulare, au asigurat un suport esențial, pregătind instrumentarul necesar, monitorizând constant parametrii vitali și asigurându-se că toate aspectele logistice ale operației au fost îndeplinite impecabil. Această coordonare eficientă a fost cheia reușitei intervenției și a recuperării post-operatorii.
Monitorizarea continuă și reevaluările periodice vor fi esențiale pentru a asigura succesul pe termen lung al procedurii și pentru a preveni complicațiile ulterioare. Acest caz subliniază importanța colaborării interdisciplinare și a tehnologiei avansate în tratamentul bolilor cardiace complexe.
Distribuie:
Articole din categoria Cardiologie intervențională
Articole mai noi
- Închiderea percutană a auriculului atriului stâng – soluție modernă pentru pacienții cu fibrilație atrială și risc hemoragic crescut
- Intervenție complexă de înlocuire a valvei aortice prin abord minim invaziv – un caz tratat cu success în cadrul MONZA ARES
- Bronhoscopia intervențională – diagnostic pulmonar de precizie, minim invaziv, la MONZA ARES
- TAVI în premieră prin abord subclavicular drept: soluție inovatoare pentru un pacient cu stenoză aortică severă și anatomie vasculară inaccesibilă
- INFARCTOSTOP – program pentru reducerea riscului cardiometabolic la pacienții cu boală cardiovasculară
Articole mai vechi
- Hemangiomul hepatic și opțiunile de tratament: Cazul tratat la MONZA ARES
- Revascularizarea prin dezobstrucție cronică - Dr. Adnan Mustafa
- Succesul unei intervenții complexe: Restabilirea circulației periferice după ocluzia arterială completă
- Pacient cu stenoze la nivelul picioarelor, salvat de la amputație prin CTO la MONZA ARES București - Dr. Nicolae Cârstea
- Screening cardiac gratuit pentru copii - Campania "Nicio zi fără joacă" revine la MONZA ARES





















