Tratamentul anevrismului cerebral
| Anestezie | generală |
| Durată procedură | 30-60 min |
| Durată spitalizare | 24h |

Distribuie:
Cuprins
Tratamentul anevrismului cerebral
Anevrismele cerebrale, în special cele de dimensiuni mari, pot duce la complicații severe dacă se rup. Este foarte important ca ele să fie tratate la timp și corect, iar în prezent acest lucru se poate face prin intervenții minim invazive, cu spitalizare scurtă și recuperare rapidă, datorită neuroradiologiei intervenționale!
Ce este anevrismul?
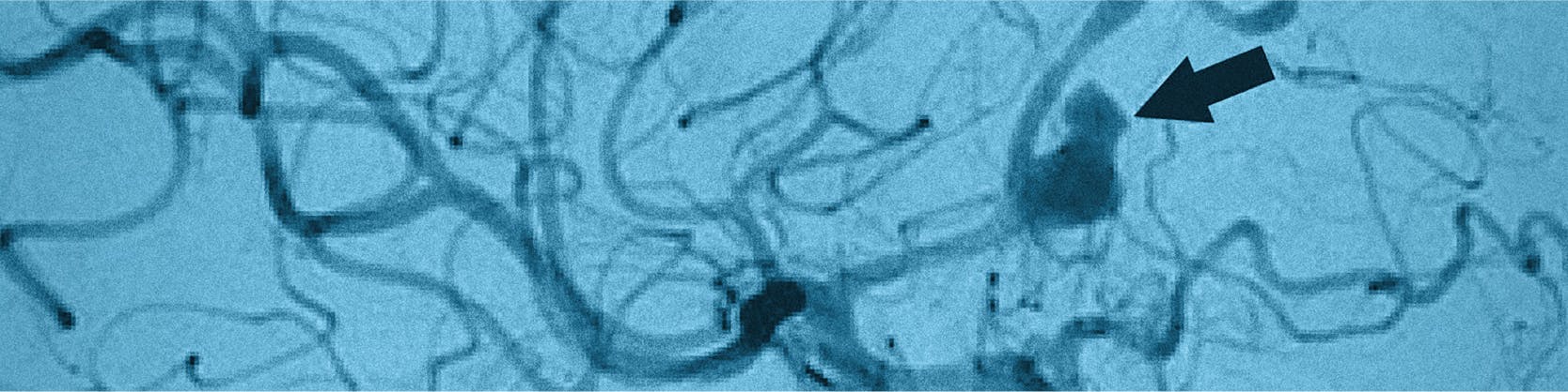
Un anevrism este o dilatare anormală a unei artere, cauzată de slăbirea peretelui vascular. Deși poate apărea în orice zonă a corpului, anevrismele cerebrale, situate la nivelul vaselor care irigă creierul, pot avea efecte grave.
Acestea pot exercita presiune asupra nervilor cranieni, ducând la paralizii, dureri de cap severe asemănătoare migrenei sau tulburări de vedere. În cazuri mai severe, anevrismul se poate rupe, provocând un accident vascular cerebral (hemoragic) cu risc mare de deces.
Există trei tipuri principale de anevrism: sacular, fuziform și disecant. Anevrismele saculare, cele mai frecvente, sunt adesea asociate cu vasele de la baza creierului. Anevrismele fuziforme sunt legate de ateroscleroză, iar cele disecante apar de obicei după traumatisme.
În ce constă tratamentul anevrismului cerebral?

Tratamentul anevrismului cerebral poate varia în funcție de dimensiunea și localizarea acestuia, precum și de starea generală a pacientului. În cazul unui anevrism mic sau asimptomatic, poate fi recomandată monitorizarea periodică, în timp ce pentru anevrismele mari sau care prezintă risc de rupere, este necesară intervenția chirurgicală. Principalele tehnici folosite într-o operație de anevrism cerebral sunt cliparea și embolizarea.
Cliparea anevrismului cerebral este o intervenție mai invazivă, ce se realizează prin craniotomie (îndepărtarea unei porțiuni din cutia craniană) și presupune implantarea unui clip metalic la baza anevrismului pentru a bloca fluxul de sânge către acesta din urmă.
Embolizarea anevrismului cerebral, pe de altă parte, este o tehnică mai puțin invazivă, similară angiografiei, și implică utilizarea unui dispozitiv numit „coil” pentru a închide anevrismul și a bloca fluxul de sânge către acesta, ceea ce îl împiedică să crească în dimensiuni și să se rupă.
Coil-ul este un dispozitiv din platină, extrem de subțire (cel mai mic este mai subțire decât un fir de păr, cel mai gros este de 2 ori mai mare decât grosimea unui fir de păr), foarte flexibil, care umple anevrismul, mulându-se pe el.
Care sunt avantajele acestei tehnici?
- Reduce riscul de ruptură și reduce simptomatologia.
- Nu necesită craniotomie (incizie la nivelul craniului - ca în cazul intervenției de tip clipping).
- Poate reduce dimensiunile unui anevrism considerat anterior inoperabil.
- Tratament minim invaziv, recuperare și spitalizare scurte.
Riscurile tratamentului de anevrism cerebral
Complicațiile sunt rare, iar riscul acestora poate fi redus printr-o pregătire corespunzătoare și o supraveghere permanentă a pacientului. Potențialele riscuri includ:
- reacții alergice la substanțele administrate;
- reacții la anestezice;
- fistule arteriovenoase la nivelul puncției vasculare;
- mici sângerări la nivelul puncției vasculare;
- febră;
- cefalee, migrenă;
- infecție;
- embolie gazoasă;
- lezarea peretelui aortic sau al arterei femurale;
- eșec procedural din motive tehnice sau anatomice;
- sângerare, ruptură de anevrism și risc de accident vascular cerebral;
- complicații cerebrale (ex: accident vascular cerebral sau tranzitor, hemiplegie, adică paralizia a jumătate de corp, pierderea conștienței, afazie sau pierderea capacității de a înțelege vorbirea ori de a vorbi);
- risc scăzut de deces prin complicații majore (hemoragie, accident vascular);
- unii pacienți pot acuza sensibilitate la nivelul scalpului o perioadă, care se poate manifesta fie ca o iritație (se poate trata cu unguente), fie prin căderea părului localizat (doar o perioadă) și în această zonă poate fi resimțită sensibilitate la soare (până la creșterea părului.
Cum te pregătești pentru tratament?
1. Vei efectua un set complet de analize de sânge
2. Vei efectua o electrocardiogramă și o ecocardiografie
3. Anumite medicamente vor fi oprite
4. Nu vei mânca și nu vei bea apă
5. Te vei abține de la fumat
După anestezie (procedura se desfășoară sub anestezie generală), se efectuează o mică incizie la nivel inghinal pentru a vizualiza artera femurală.
- Se va introduce o teacă (un tub de plastic care permite manipularea echipamentului necesar intervenției).
- Se administrează un anticoagulant care previne formarea cheagurilor de sânge în timpul intervenției.
- Se introduce un cateter pe teacă, iar pe acesta un microcateter prevăzut în capăt cu coil-ul cu ajutorul căruia se va închide anevrismul.
- În momentul în care se ajunge la nivelul anevrismului, coil-ul va fi introdus în deschizătura anomaliei vasculare, unde va umple anevrismul, blocând astfel intrarea sângelui total sau parțial. Pot fi necesare mai multe dispozitive pentru obstrucția completă a anevrismului. În timpul intervenției se verifica în permanență localizare cateterului prin angiograme repetate (injectare de substanță de contrast pe cateter care permite vizualizarea cateterelor și a sistemului vascular).
- După ce s-a montat coil-ul, se verifică angiografic rezultatul și, dacă anevrismul a fost închis, se aplică un microcurent care va determina detașarea coil-ului de microcateter.
- După terminarea investigației se scot cateterele și tecile arteriale, iar la locul de puncție se realizează compresiunea arterei folosite ca abord. Pentru a se obține compresia, se pune un pansament compresiv ce trebuie păstrat timp de 24 de ore pentru a se evita sângerările. Indiferent de tipul de abord folosit, se recomandă repausul la pat. În anumite situații, există indicația de a monta un sistem hemostatic la nivelul puncției femurale. Acesta se montează în sala de angiografie, imediat după terminarea intervenției. AngioSeal este mic dop de colagen și se introduce în interiorul arterei femurale. Acesta are ca efect obținerea hemostazei în doar două ore. Astfel, pacientul își poate mișca piciorul în voie și se poate ridica din pat.
Ce se întâmplă după procedură?
1. Vei bea cel puțin 2 litri de apă, pentru a elimina substanța de contrast.
2. Vei face o electrocardiogramă de control
3. Pansamentul de la locul puncției se scoate la 12-24 de ore.
4. Vei fi monitorizat 24 de ore
Recuperare după operația de anevrism cerebral
Durata recuperării după o intervenție pentru tratarea anevrismului cerebral și cum decurge aceasta poate varia de la un pacient la altul. Tratamentul anevrismului cerebral prin embolizare prezintă avantajul unei internări de scurtă durată și a unei perioade scurte de convalescență.
Perioada de internare variază între 24 și 48 de ore, timp în care vor fi efectuate analize, investigații și intervenția propriu-zisă. Te poți întoarce la viața ta în numai câteva zile. Este posibil să ai dureri în zona inghinală și să observi vânătăi în zona din jurul inciziei.
Poți merge pe distanțe scurte pe suprafețe plane, dar este recomandat să eviți urcarea și coborârea scărilor în primele 2-3 zile după intervenție. De asemenea, nu este indicat să faci baie sau să înoți în prima săptămână după operație.
În mod normal, ar trebui să îți poți relua activitățile normale în decurs de 1 până la 2 săptămâni, dacă nu apar complicații. Vei primi toate informațiile necesare privind activitățile permise și interzise pe parcursul recuperării și este important să respecți toate indicațiile primite până la vindecarea completă.
La fel de important este, dacă ai trecut printr-o astfel de procedură, să revii la control așa cum ți-a recomandat medicul tău și să respecți tratamentul indicat de acesta. La domiciliu vei urmări dacă apar febra sau frisoanele, modificări la nivelul locului de puncție (sângerare, hematom, o echimoză mică - poate fi normal), dacă apar modificări la nivelul piciorului pe care s-a intervenit (modificări de culoare, temperatura sau sensibilitate), precum și alte manifestări neurologice.
Este importantă verificarea periodică a statusului anevrismului – prin angiografii repetate, prima de obicei după cel puțin o lună de la intervenție (medicul tău te va orienta în acest sens).
Tratamentul anevrismului cerebral prin tehnici minim invazive, cum ar fi embolizarea, oferă o soluție eficientă și cu risc redus pentru pacienți. Este important să recunoști simptomele precoce și să cauți asistență medicală pentru diagnosticarea corectă și intervenția rapidă. Dacă suferi de un anevrism cerebral sau ai nevoie de o evaluare, nu ezita să contactezi echipa noastră de specialiști pentru a discuta despre cele mai bune opțiuni de tratament!
Surse:
- „Brain Aneurysm - Symptoms and Causes”, Mayo Clinic, 2024, www.mayoclinic.org/diseases-conditions/brain-aneurysm/symptoms-causes/syc-20361483. Accesat la 9 Dec. 2024.
- „Brain Aneurysm Repair - Discharge”, MedlinePlus Medical Encyclopedia, 2022, medlineplus.gov/ency/patientinstructions/000123.htm. Accesat la 9 Dec. 2024.
- Campos, Jessica K, et al. „Advances in Endovascular Aneurysm Management: Coiling and Adjunctive Devices”, Stroke and Vascular Neurology, vol. 5, no. 1, 1 Mar. 2020, pp. 14–21, pmc.ncbi.nlm.nih.gov/articles/PMC7213502/, https://doi.org/10.1136/svn-2019-000303. Accesat la 9 Dec. 2024.
- „Coiling of Brain Aneurysms | Fact Sheet |”, Brain & Spine Foundation, 24 June 2022, www.brainandspine.org.uk/health-information/fact-sheets/coiling-of-brain-aneurysms/. Accesat la 9 Dec. 2024.
- Rishab Belavadi, et al. „Surgical Clipping versus Endovascular Coiling in the Management of Intracranial Aneurysms”, Cureus, 17 Dec. 2021, pmc.ncbi.nlm.nih.gov/articles/PMC8760002/, https://doi.org/10.7759/cureus.20478. Accesat la 9 Dec. 2024.
Distribuie:
Locații MONZA ARES în care se efectuează Tratamentul anevrismului cerebral
Procedurile Noastre
- Investigații cardiologie
- Investigații neurologie
- Bolile valvelor și ale vaselor inimii
- Investigații imagistice
- Aritmii cardiace
- Defecte (malformații) cardiace din naștere
- Bolile vaselor de sânge
- Fibroid Center
- Boli oncologice si tratamente tumorale
- Bolile valvelor și ale vaselor inimii la copii
- Boli ale aparatului genital masculin
- Boli cerebrale și ale coloanei vertebrale
- Boli ale articulațiilor


